Loading
Liebe Mitglieder, liebe Freunde und Förderer von Mabuhay!
Wie schon seit einiger Zeit geben sich die Zahnärzte die Klinke in die Hand und so kamen am 24. September Lara K. von der Uni Marburg, Johanna K. von der Uni Regensburg und Franziska S. von der Uni Würzburg, um die Zahnstation zu übernehmen. Gleich zu Beginn hatten sie einige schwierige Patienten, arbeiteten aber gut zusammen und meisterten mit den Erfahrungen aus den verschiedenen Universitäten die Problemfälle. Wie immer sind wir froh, wenn Zähne noch gerettet werden können.






Am 25. September kam Taifun Bualoi, hier Opong genannt, auf Nord-Samar zu. Mit Windgeschwindigkeiten von 110 km/h, hohen Wellen und starken Regenfällen von bis zu 200 mm/h. Gott sei Dank blieben wir mehr oder weniger verschont. Nur 50 km von uns entfernt sah es anders aus. In den Nachrichten und auf den Bildern sah es aus, als ob er uns direkt treffen würde.


Am 1. Oktober gab es ein großes Erdbeben in Cebu mit einer Stärke von 6,9. Viele Menschen starben, wurden verletzt oder verloren ihr Zuhause. Danke, dass Sie/Ihr alle an uns gedacht haben. Hier gab es kaum Schäden und wir fühlten nur ein leichtes Wanken. Das Schlimme sind die vielen Nachbeben, die den Menschen Angst machen, wieder in ihre Häuser zu gehen. Und am 17. Oktober gab es dann ein zweites großes Beben mit einer Stärke von 6,1 in Mindanao. Die Beben hingen mit dem sogenannten Pazifischen Feuerring zusammen, einem Vulkangürtel, der den Pazifischen Ozean von drei Seiten umgibt.
Am 2. Oktober nahm ich erstmals an der Feier zum Tag der Deutschen Einheit teil. In Manila lädt dazu der deutsche Botschafter Dr. Andreas Pfaffernoschke und seine Frau ein und es ist ein großes würdiges Fest, an dem viele Deutsche, aber auch Botschafter anderer Länder und Menschen, die Kontakte zu Deutschland haben, teils wirtschaftlich, teils persönlich und teils kirchlich, teilnehmen. Es waren über 900 Gäste geladen und der Saal füllte sich schnell. Es gab ein schönes musikalisches Programm, einige Reden und viel Austausch. Nach über 18 Jahren im Land nahm ich erstmals an der Feier teil. Die Bilder sprechen für sich.



Am 5. Oktober kamen Asghar Khezerloo, gebürtiger Iraner, und Zlatomira P., gebürtige Bulgarin, als Zahnärzte zu uns. Beide hatten in München studiert und bereits andere Auslandspraktika absolviert, z.B. in Peru. Leider musste Frau P. bereits am 20. Oktober aus gesundheitlichen Gründen abreisen. Herr Khezerloo behandelte unermüdlich weiter und kämpfte insbesondere bei den Weisheitszahneextraktionen. Zum Glück konnten auch wieder einige Zähne gerettet werden.



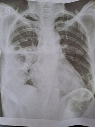
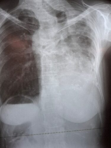
Gleichzeitig kam Dr. Alexander Hültenschmidt aus Karlsruhe als junger Mediziner zu uns. Er hatte in Budapest studiert und sein PJ in Karlsruhe gemacht. Nach seinem Einsatz hier will er seine Weiterbildung zum Kardiologen abschließen. Täglich sah er viele Patienten mit den unterschiedlichsten Krankheitsbildern. Wieder waren alle Altersgruppen vertreten, aber das stellte für ihn kein Problem dar. Er arbeitete sich schnell ein und fand schnell Kontakt nicht nur zu den Patienten, sondern auch zur Bevölkerung. Erschreckend war für ihn die hohe Zahl an Tuberkulosekranken. Selbst der Laie kann sehen, dass die Röntgenbilder nicht gut aussehen.






Am 29. Oktober gab Dr. Hültenschmidt unseren Freiwilligen ein Seminar zur Ersten Hilfe, sodass Sie Ihr zuvor Gelerntes auffrischen konnten. Der letzte Kurs lag drei Jahre zurück, und so waren wir dankbar, dass er ihn anbot. Alle waren eifrig beteiligt und lernten neben einfachen Evakuierungsübungen auch CPR. Am Ende bekam jeder ein Zertifikat.





Kaum war Dr. Hültenschmidt im Flugzeug, fegte am 3. November Taifun Kalmaegi (Tino) über Cebu hinweg und hinterließ ein Bild der Zerstörung. Viele Menschen starben und verloren alles. Ihr/Sie haben die Bilder im Fernsehen sicher gesehen. Vieles erinnerte an den Supertaifun Haiyan 2013 in Tacloban, der auch im November auftrat, Tacloban zerstörte und Tausende in den Tod riss. In Cebu alleine starben über 200 Menschen. Die Bilder von Cebu waren noch in allen Medien, als am frühen Morgen des 8. November sich Supertaifun Funf-wong (Uwan) ankündigte. Fähr- und Luftverkehr wurden eingestellt und alle Menschen am Meer zwangsevakuiert. In unserer Seniorenhalle waren allein über 300 Menschen untergebracht, und in der Klinik noch über 30. Ich habe mal ein paar Bilder kopiert, die gut zeigen, wie groß der Taifun war auch im Verhältnis zu Haiyan 2013.
Viele Hände halfen, dass es gut ablief, beim Kochen, beim Wasserholen sowie beim Matratzenbereitstellen. Bei so vielen Menschen muss vieles organisiert werden, zumal man nie weiß, wie lange der Taifun wütet. Der Taifun war so groß, dass er die gesamten Philippinen bedeckte, mit einem Durchmesser von 1800 km, und in all den Jahren habe ich noch nie erlebt, dass das ganze Land auf Alert gesetzt wurde. Mit Windgeschwindigkeiten über 140 km/h und über 200 mm Regen war es schon heftig. Zum Glück hatte die Evakuierung, diesmal die Zwangsevakuierung, der Leute frühzeitig begonnen. Die Wellen am Meer waren 3 m hoch. In den Philippinen wurden insgesamt mehr als 1 Million Menschen evakuiert. Zum Glück hatten wir kaum Schäden am Haus. Alle Bananen-, Papaya- und Moringa-Bäume waren auf der Farm allerdings umgefallen, aber das ist nicht so schlimm. Gut, die Menschen waren sicher, und es gab keine Todesfälle in unserer Provinz.




Wie schon im letzten Brief erwähnt, konnten wir dank der Unterstützung des Hilfswerks der Deutschen Zahnärzte, mit Dr. Klaus Sürmann und Dr. Klaus Winter, zusätzliche Solarbatterien erwerben und so die Stromrechnung erneut reduzieren. Die Installation verzögerte sich, da der Installateur im Krankenhaus wegen einer Aneurysma-Blutung lag. Gott sei Dank überlebte er den schweren Eingriff, und sein erstes Ziel war Bugko.



Durch gesammelte Spenden der Kirchengemeinde Moers-Rheinkamp, des Welfare-Komitees des Deutschen Clubs Manila sowie verschiedener Einzelspenden war es uns möglich, ein Rettungsboot samt Anhänger, Schwimmwesten und Rettungsleinen zu erwerben. Nun sind wir für zukünftige Überschwemmungen gerüstet und können auch in solchen Notsituationen helfen.


Und zum Jahresende kam noch eine gute Nachricht. Unser neues Röntgengerät ist da. Es ist wie das Vorgängermodell, das digital und von Siemens Healthineers gespendet wurde. Wir renovierten das ganze Röntgenzimmer. Unsere Mitarbeiter erhielten mehrere Einführungen, damit die Bedienung korrekt erfolgt. Wir sind überglücklich, denn nun können wir wieder eine umfassende Diagnostik mit Labor, Röntgen und Ultraschall anbieten. Dadurch ersparen wir den Patienten nicht nur weite Wege, sondern erzielen auch schnell Ergebnisse. Herr Michael Schmermer von Siemens Healthineers wird im nächsten Jahr die offizielle Übergabe übernehmen.


Wie schon im vergangenen Jahr war die zweite Jahreshälfte erneut sehr ereignisreich.
Wieder sagen wir DANKE/SALAMAT für Eure/Ihre stetige Unterstützung. Ohne Euch/Sie könnten wir das hier nicht leisten und den Menschen nicht helfen. In einem Jahr passiert hier so viel, dass ich es gar nicht alles erwähnen und schreiben kann. Kein Tag gleicht dem anderen und wir sind froh, dass Ihr/Sie an unserer Seite seid.
Wir brauchen weitere Unterstützung, um unsere Programme fortsetzen zu können. Die Arbeit wird nicht weniger, und wir sind froh, dass wir dieses Jahr so viel Unterstützung von Ärzten und Zahnärzten erhalten haben. Wir hoffen, dass auch im Jahr 2026 wieder viele Fachkräfte mit großem Herzen nach hier kommen und uns in unserem Anliegen für die Armen unterstützen. Beten wir für weniger Naturkatastrophen, die doch oft beängstigend sind, zumal sich die Taifune nicht nur häufen, sondern auch an Stärke zunehmen. Dazu kommen die vielen Erdbeben, die man oft kaum spürt, aber die anderswo Häuser zusammenfallen lassen. Dieses Jahr blieben wir zwar von größeren Schäden etwas verschont, aber im nächsten Jahr kann es schon anders aussehen.
Trotzdem schauen wir zuversichtlich in das neue Jahr und wissen Euch/Sie an unserer Seite.
Ich wünsche Ihnen/Euch schon heute ein gesegnetes und frohes Weihnachtsfest und für 2026 alles Gute!
Ihre/ Eure dankbare
Sabine Korth
Malipayon nga Pasko (Frohe Weihnachten) aus Bugko!
