Loading
Liebe Mitglieder, liebe Freunde und Förderer von Mabuhay!
Wie im letzten Brief angedeutet, hat Michael Kaluza etwas über seinen Aufenthalt bei uns geschrieben, und ich möchte das gerne mit Euch/Ihnen teilen.
Liebe Freunde der Mabuhay Clinic!
Was haben der rheinische Karneval und ein Philippiner gemeinsam? Man freut sich des Lebens! Ob 18 Stunden Karaoke am Tag (landestypische Lieblingsbeschäftigung) und das eine Woche lang – oder spontane „Fiestas“, bei denen viel getanzt wird – oder viele Kinder, die noch auf der Straße miteinander spielen – oder eine ganze Familie (ca. 8), die auf einem einzigen Motorrad unterwegs ist... Leben pur! Und das macht sich ganz besonders in der Ausstrahlung und Gastfreundlichkeit dieser Menschen bemerkbar: Immer bekommt man ein Lächeln geschenkt, und alles wird getan, um den Aufenthalt so angenehm wie möglich zu gestalten. In diese philippinische Lebensfreude wurde ich von Juni bis September dieses Jahres eingebunden und durfte bei Sister Sabine und Sister Veronika in der Mabuhay Clinic (MC) ein medizinisches Praktikum absolvieren. Zuerst hieß es, sich an die Zeitumstellung (+7 Std.), an die Hitze (26-35 Grad) und an die hohe Luftfeuchtigkeit (90 %) zu gewöhnen. Obwohl ich das tropische Klima gerade so mit kurzer Hose und T-Shirt aushielt, arbeiteten!!!!



die Philippiner unter der prallen Sonne mit langer Hose, Pullover und Kopfbedeckung, um sich vor Sonnenbrand zu schützen. Nach einer einwöchigen Eingewöhnungsphase ging der Alltag in der MC auch für mich los. Ein normaler Arbeitstag sah folgendermaßen aus: 6.30 Uhr Morgengebet, danach Frühstück, 8 bis 11 Uhr Sprechstunde, 12 Uhr Mittagessen, 14 bis 17 Uhr Sprechstunde, 18 Uhr Abendgebet, danach Abendessen, 22 Uhr Nachtruhe. Mittwochs vormittags bot Sr. Sabine eine Sprechstunde in der Highschool an, mit der die Clinic kooperiert. Samstags vormittags begleitete ich Sr. Veronika zur Ministrantenstunde in die Dorfkirche St. Francis in Bugko.



In den Sprechstunden durfte ich Sr. Sabine und den aushelfenden Ärzten über die Schulter schauen und unterstützend tätig sein. Ganz nah konnte ich erfahren, mit welchen Krankheiten und Sorgen die Menschen zur MC kamen. Ganz besonders haben mich die unterernährten Kinder berührt. Einmal kam eine Mutter mit ihrem 3-jährigen Sohn vorbei, „dem es nicht so gut geht“, wie sie behauptete. Bei der Untersuchung stellte Sr. Sabine fest, dass der Junge nur 7,5 Kilo wog, 41,4 Grad Fieber hatte, eine starke Erkältung litt und sein Magen voller Würmer war – er konnte noch nicht gehen! Sprachlosigkeit verbreitete sich und, ohne sentimental zu werden, zerriss es mir das Herz in der Brust! Was man bei uns in diesem Fall vom rechtlichen Standpunkt aus getan hätte, glaube ich, muss ich nicht aufzuzählen. Doch in diesem Fall spiegelte sich die Situation der Menschen in Nord-Samar wieder: Kein Geld – Folge: kein Essen, keine Schulausbildung, unbezahlbare Arztbesuche usw. Das führt dazu, dass viele Menschen an „harmlosen“ Krankheiten für uns sterben! Und gerade an diesem Extremfall durfte ich die Berufung der beiden Schwestern erfahren: die menschliche Zuwendung und die konkrete Humanität. Zahnmedizinische Hilfe (+ Feeding-Programm) für die Ärmsten, ohne erst zu fragen, ob sie Geld haben oder nicht!



Ein Höhepunkt war die Medical Mission, bei der 5 Ärzte aus Manila am Ende ca. 650 Patienten kostenfrei untersuchten. Ich durfte an einem Vormittag dem Chirurgen assistieren, was sehr spannend war. An den zwei Tagen erfuhr ich, wie gut die MC von der Bevölkerung angenommen wurde und wie sie den Menschen eine ganz wesentliche Stütze ist. Ein Spiegelbild dafür sind für mich die vielen Freiwilligen gewesen, hauptsächlich Mütter, die ehrenamtlich Tag für Tag den Klinikbetrieb am Laufen halten und bei der Mission wie ein eingespieltes Team auftraten. Dies war aber auch möglich dank der medizinischen Fortbildungen, die während meiner Zeit im zahnmedizinischen Bereich stattfanden. Dr. Klaus de Cassan vom Hilfswerk der Deutschen Zahnärzte, dem Hauptunterstützer der MC, kam für einige Tage mit seiner Frau nach Bugko, um in die Zahnprophylaxe einzuweisen.



Es war schön zu sehen, wie man durch das Wasser Kinder erfreuen kann. Fast am Ende meiner Zeit angelangt, konnte ich noch mit dem Schwimmunterricht im zuvor fertiggestellten Swimmingpool beginnen. Zu Beginn des Jahres waren nämlich Kinder, die ertrunken waren, der Grund für das Stiftungsprojekt.
Noch vieles könnte ich von meiner kurzen und intensiven Zeit auf den Philippinen berichten. Obwohl ich das Leben der Menschen durch meine Hilfe bereichern wollte, wurde ich selbst durch sie bereichert. Daher ein herzliches Vergelt’s Gott besonders an Sister Sabine und Sister Veronika, an Domingo und Dennis, an alle Freiwilligen, an Limpi, an Sparky und Ming Ming und auch an alle, denen ich in diesen drei Monaten begegnen durfte. Salamat!
Michael Kaluza
Kaum war Michael Kaluza wieder in Deutschland, kamen Carsten und Doris Hansen

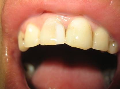
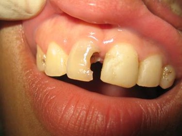
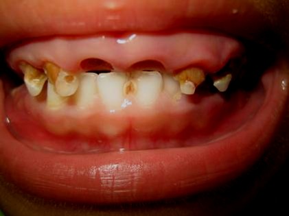
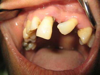
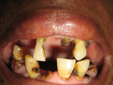
aus Wildeshausen bei Bremen zu uns. Herr Hansen ist Zahnarzt und hat in der Zeitung über unser Projekt gelesen. Seine Frau und er wollten schon immer mal gerne in einem Entwicklungsprojekt arbeiten. Und das haben sie hier reichlich getan. In nur zwei Wochen wurden, mit Unterstützung unserer hiesigen Zahnärztin, 656 Patienten behandelt. 70 Füllungen stehen der eher traurigen Bilanz von 1120 gezogenen Zähnen gegenüber. Die Zähne waren nicht mehr zu retten und Herrn Hansen blutete jedes Mal das Herz, wenn er Kindern und Jugendlichen bleibende Zähne ziehen musste. Dazu kamen etliche Zahnreinigungen. Die neuen Geräte waren da eine große Hilfe. Frau Hansen und er arbeiteten unermüdlich von früh morgens bis oft in die Dunkelheit hinein. Meist hatten sie viele Zuschauer im Rücken. Die Patienten standen Schlange und kamen schon vor sechs Uhr in der Frühe zur Klinik. Unsere Freiwilligen waren immer zur Stelle und blieben, bis auch der letzte Patient versorgt war.
Hier einige Bilder:






Familie Hansen hat auch einen ausführlichen Bericht über Ihren Einsatz bei uns geschrieben, der in unserer Homepage unter www.mabuhay-ev.de gelesen werden kann.
Am 9. Oktober kam Sr. Bergitta von den Olpern Franziskanerinnen zu uns.
Sie war eine der Delegierten für das goldene Gründungsbestehen der Franziskanerinnen von der ewigen Anbetung in Baybay/Leyte. Sie durfte ein paar Tage zu uns nach Bugko kommen, und so konnten wir ihr einiges vom Leben in Bugko, vom hiesigen Krankenhaus und von der Kirche hier zeigen.








Am selben Tag kam unsere „jüngste Freiwillige“, Clea Mae, zur Welt. Unsere langjährige Freiwillige Chona wurde Mutter.


Auch in diesem Jahr beteiligten wir uns, und viele unserer Freunde, Mitglieder und Bekannten, sich an der Aktion „DiBaDu und Dein Verein“. Über 5162 Vereine hatten sich in unserer Kategorie angemeldet. Die Ing. Diba wollte 1000€ an die 250 meistgewählten gemeinnützigen Vereine verschiedener Größe mit Sitz in Deutschland spenden. Wir gehörten der Kategorie mit 51–200 Mitgliedern an. Unter die ersten 250 kamen wir nicht, schlossen aber mit Rang 873 ab und bekamen für unseren Verein „Mabuhay-Hilfe zum Leben“ 281 Stimmen. Ich möchte auf diesem Weg allen Danken, die sich an dieser Aktion beteiligt und für uns gestimmt haben.
Ein Jahr mit vielen Veränderungen und vielen Besuchern geht zu Ende und ich möchte Ihnen/Euch allen erneut ganz herzlich danken, auch im Namen aller Bugkoano, denn ohne die vielen helfenden Hände und die finanzielle Unterstützung wäre es nicht möglich, ein solches Programm hier durchzuführen und aufrechtzuerhalten.
Mit den besten Wünschen für eine frohe Adventzeit und ein gesegnetes Weihnachtsfest bin ich Eure/ Ihre
Sabine Korth
Malipayon nga Pasko (Frohe Weihnachten) aus Bugko!

