….ein neugieriger Blick aus dem Fenster der kleinen Propeller-Maschine, mit der wir die letzte Strecke von Manila auf die Philippinen-Insel Samar fliegen:
Einhüllt in Nebel und morgendliche Wolkenschleier, durch die sich die Sonnenstrahlen ihren Weg bahnen, verzaubert sie uns schon bei der Ankunft – üppiges Grün und azurblaues Wasser zeigen uns ein wahres Naturparadies! Das ist die perfekte Einleitung für einen Traumurlaub auf den Philippinen…. und etwas ganz Ähnliches haben wir auch gemacht!
Durch den Kontakt zu Kalle – der auch aus Wildeshausen kommt – haben wir von Sabine und dem Projekt „Mabuhay-Hilfe zum Leben e.V.“ erfahren. Spontan haben wir uns für einen zahnärztlichen Einsatz im September gemeldet und nun war es so weit. Wir haben einiges gelesen, viele Mails geschrieben, und waren unserer Meinung nach ganz gut gerüstet- aber wie so häufig, ist der persönliche Eindruck doch etwas ganz anderes…….
….also zurück zur Ankunft: Eigentlich sollte die Maschine erst kurz vor 7 landen, aber weil wir schon zeitig in Manila losgeflogen sind, waren wir viel zu früh in Catarman/Samar.
In Catarman landet und startet zurzeit nur eine Maschine pro Tag – dies wird den Bewohnern der Stadt immer durch eine Sirene angekündigt – somit also auch an dem besagten Sonntagmorgen…..
Nun hatte Kalle alle Hände voll zu tun, um in aller Eile unser Empfangskomitee zusammenzutrommeln:
seine Fußballjungs -die von Wildeshauser Sportvereinen mit Trikots und Schuhen unterstützt werden- wollten uns unbedingt bei der Ankunft begrüßen, sie haben es auch noch geschafft! Was für ein netter Empfang!
Direkt im Anschluss daran konnten wir auch Sabine und Sr. Veronica endlich persönlich kennenlernen: Wir wurden aufs Herzlichste empfangen und machten uns dann auf den Weg nach Bugko, ein Ort mit ca. 7000 Einwohner, von denen viele in sehr einfachen Lebensumständen leben. Dort wollten wir die nächsten Wochen unsere Unterstützung zur zahnmedizinischen Versorgung geben……..
Gesagt, getan, am Montagmorgen ging es los:
Uns blicken neugierige freundliche Gesichter entgegen – die Philippiner sind ein freundliches Volk – und ihr herzliches Lächeln gibt uns schon eine Vorahnung auf die Arbeit, die uns in den kommenden Tagen erwarten wird….
….und so ist es auch. Wir arbeiten von morgens bis abends mit der tollen Unterstützung von Sabine, Sr. Veronica und allen freiwilligen Helfern – sie assistieren, übersetzen und stehen uns mit Rat und Tat zur Seite.
Bei der morgendlichen Registrierung bekommen die Patienten eine Karteikarte und wir behandeln sie der Reihe nach.
Am Ende des Tages sind alle Patienten behandelt, manchmal war der Ansturm aber einfach zu groß, sodass wir nur die dringend notwendigen Behandlungen durchführen konnten.
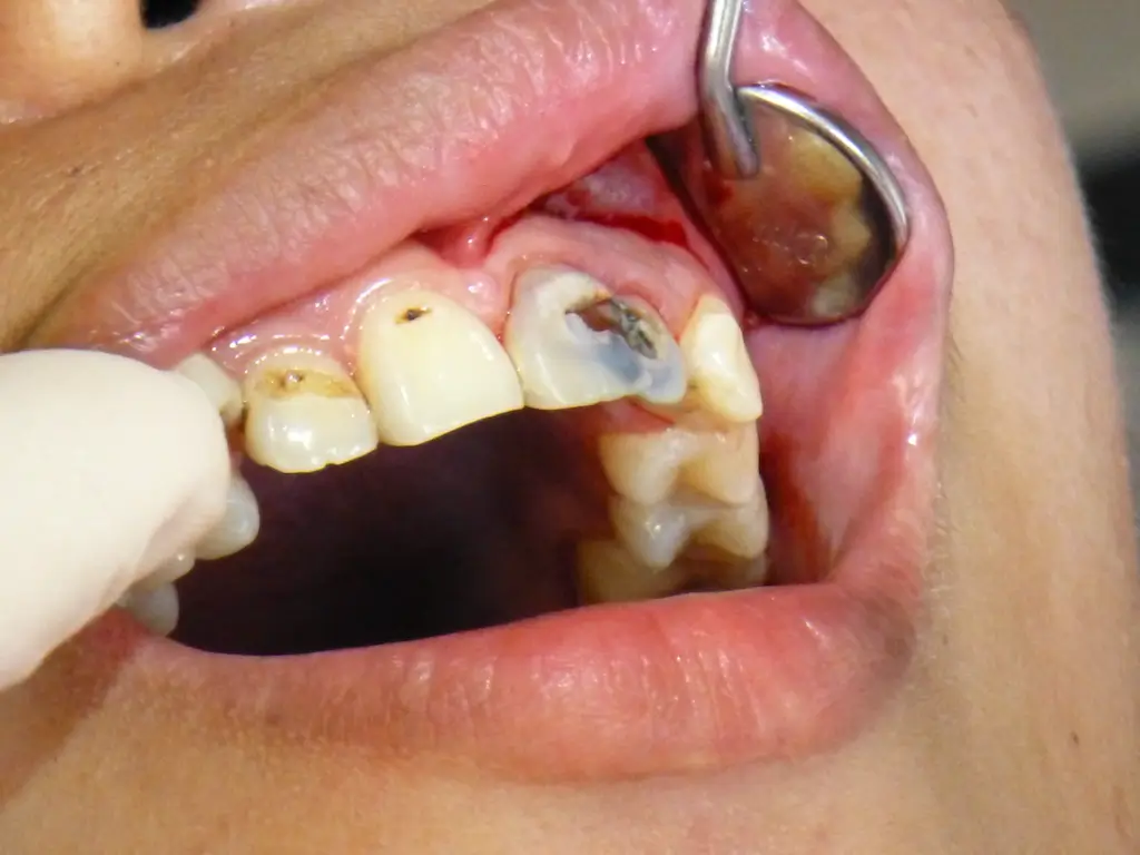
Die Standardbehandlung ist immer noch die Extraktion, da aufgrund der schlechten Mundhygiene, fehlender zahnärztlicher Versorgung und mangelnder Zahnpflege der Zahnstatus leider oft sehr schlecht ist. So viele Extraktionen kennen wir gar nicht aus unserem Praxisalltag in Deutschland, aber wir haben uns schnell an die Gegebenheiten angepasst.
Im Behandlungszimmer nutzten wir die einfache Behandlungseinheit für Füllungen und Reinigungen. Wir haben uns bemüht jeden erhaltungswürdigen Zahn mit hochwertigen Füllungen zu behandeln, die Materialien haben wir als Spenden von verschiedenen Dentalfirmen aus Deutschland mitgebracht.
Alle Patienten haben es uns mit einem Lächeln und „Salamat“ gedankt, was für eine Belohnung!
Neben unserem tagtäglichen Einsatz haben wir durch Sabine und Sr. Veronica unglaublich viel über die Insel Samar, den Ort Bugko und ihre Menschen erfahren. Die gemeinsamen Abende auf der Terrasse und die Ausflüge über die naturbelassene Insel mit Besuchen bei vielen netten Menschen haben unseren Aufenthalt zu einer unvergesslichen Erfahrung gemacht. Der Besuch des katholischen Gottesdienstes am Sonntagmorgen hat uns durch die fröhlichen Gesänge und die Begeisterung der Menschen bewegt. Ganz herzlich wurden wir auch in der Highschool empfangen, eine besondere Erfahrung war auch der Bummel über der Markt und den Fischern am Strand beim Auslesen der Netze über die Schulter zu schauen. Wir haben auch in der kleinsten Küche eine Herzlichkeit und Freundlichkeit kennen gelernt, die uns besonders beeindruckt haben. Die Lebensumstände sind nicht einfach und überhaupt nicht mit den unsrigen zu vergleichen, aber dennoch geben uns die Philippiner mit ihrem Lächeln von Herzen ganz viel zurück!
Ganz außerordentlichen Eindruck hat aber das Engagement von Sabine, Sr. Veronica und ihren Volontärs bei uns hinterlassen. Sie leisten dort vor Ort eine so umfangreiche und nachhaltige Hilfe, angefangen mit der tagtäglichen medizinischen Versorgung, über das Ernährungsprogramm, das Fluoridprogramm und vielem mehr…. Immer wieder kommen auch neue Ideen dazu, die auch verwirklicht werden, so zum Beispiel der gerade fertiggestellte Swimmingpool zum Schwimmunterricht, das neu eingerichtete Labor zur besseren Diagnostik….. und es gibt noch einige weitere Pläne.
Diesen unermüdlichen Einsatz leisten Sabine und Sr. Veronica das ganze Jahr hindurch:
ein selbstloser Einsatz, der auf jeden Fall weitere Unterstützung aus Deutschland braucht.
Wir haben unseren „Traumurlaub“ auf der Insel Samar in Bugko sehr genossen und werden gerne wiederkommen. Umrahmt von Palmen und Traumstränden hat man die Möglichkeit, wirklich zu helfen und nebenbei die tolle unberührte Natur und die Herzlichkeit der Menschen zu genießen.